

What procedures are available at Guatemala Dental Team?
How many medical staff are there at Guatemala Dental Team and what accreditations do they have?
At Medijump, we're making medical easy. You can search, compare, discuss, and book your medical all in one place. We open the door to the best medical providers worldwide, saving you time and energy along the way, and it's all for FREE, no hidden fees, and no price markups guaranteed. So what are you waiting for?
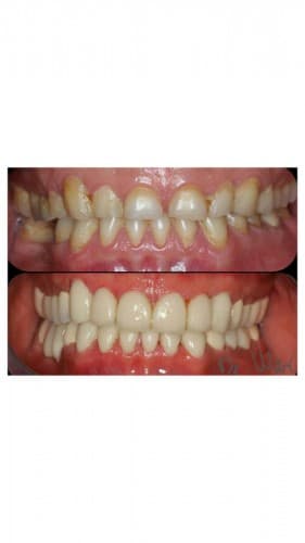
A dental implant is a medical device that provide support to artificial teeth. It's surgically placed into the jaw to act as a replacement for the root of a missing or damaged tooth, which in turn serves to hold a replacement tooth or bridge. It functions and looks much like a real tooth, restoring your ability to chew and improves your overall appearance. Dental implant surgery is considered as a better alternative to dentures or bridgework that does not fit well. It also offers a great option for people when they do not have enough natural teeth roots left to build denture or bridgework replacements.
Since dental implants eventually fuse with your jawbone over the span of several months, it won’t make noise, slip, or cause bone damage the way dentures or bridgework might. Dental implants also enable natural speech, look and feel like your own teeth, make eating easier, and improves your appearance. However, the surgery may involve several stages, and, in some cases, it may require two separate visits to the clinic to complete. Ensure to look for a specialist in a reputable clinic for the best results.
The recuperation duration following a Dental Implant or dental implant operation can widely vary and is shaped by multiple aspects. Initial healing of the tissue might require only a handful of days, but complete osseointegration (the fusion of the implant with the jawbone) generally spans several months. This window could be extended for patients requiring auxiliary procedures such as bone grafts, or those with prevailing health issues that may impede the healing process.
Post-procedure, it's not unusual to experience a degree of discomfort, which could manifest as minor pain, swelling of your gums and face, skin and gum bruising, and slight bleeding. Such symptoms are a standard phase of the recovery process and should alleviate within a fortnight. In this interim, it's advisable to stick to a soft diet to not overload the implant site with undue pressure. Any strenuous physical exertion should be put off to circumvent potential complications.
Maintaining excellent oral hygiene is paramount to facilitate healing and stave off infection. Regular brushing and flossing, being particularly gentle around the surgical area, coupled with rinsing your oral cavity with warm saline water, can contribute to keeping the region hygienic.
The efficacy of Dental Implant, alternatively referred to as dental implants, in Guatemala City, is typically impressive, boasting effectiveness percentages as high as 98% in some studies. This positions dental implants as one of the most reliable procedures within dental care's realm. Nevertheless, it's worth mentioning that the success rates might fluctuate, influenced by several factors.
The patient's overall health is a key determinant of the thriving outcome of a dental implant procedure. Individuals exhibiting optimal health usually witness higher success rates. Pre-existing health issues like diabetes, osteoporosis, and periodontal ailments can theoretically impact the efficacy of the implant.
Additional contributing factors to the success rate encompass the quality and abundance of the individual's bone structure. Patients boasting plentiful, healthy bone are ordinarily the perfect candidates for dental implants. However, those who have experienced bone loss might need to undergo a bone grafting procedure before the implant procedure. This step can provide a robust base for the implant and enhance the chances of a successful result.
VIEW DETAILS
VIEW DETAILS
CONTACT SUCCESSFUL