No pricing info available
My husband and I recently visited Guatemala for vacation and for dental work. The dental team was excellent at communication to organize our appointments beforehand, and we were happy to know that a member of the team would be there to meet us at the airport and get us to our accommodations. Gaby was particularly wonderful to deal with and helped us very much. The area we stayed in near the clinic was very safe and we felt very comfortable walking around, also ubering was very inexpensive. The Dental team and clinic was very professional and friendly, and we are both pleased with the work we had done at a fraction of the cost. Also Dr. Guerra was very personable, spoke great English and went beyond our expectations, even messaging us after to see how we were and accommodating our travels by doing a follow up in Antigua, which we greatly appreciated. We would definitely go back to have dental work done, and also to see more of Guatemala! It’s a beautiful country. Thanks so much!
Excellent Professional services. State of the art Medical equipment. Really a very good practice..Great English and accelerated Service. I highly recommend Dr. Alan Antillon. Best Lex
At Medijump, we're making medical easy. You can search, compare, discuss, and book your medical all in one place. We open the door to the best medical providers worldwide, saving you time and energy along the way, and it's all for FREE, no hidden fees, and no price markups guaranteed. So what are you waiting for?

Also known as Clear-Aligner Treatment. Invisalign is the clear alternative to conventional dental braces used to adjust and straighten teeth, whilst simultaneously improving the patients smile. Through the use of virtually invisible and removable custom-made smooth plastic aligners, dentists are able to place the Invisalign over the teeth allowing for a gradual shift.
Invisalign manufacture the most well known of these clear aligners - the product comprises of a series of computer-generated aligners that are tailor-made to the patient’s teeth. By changing aligners every two to three weeks, the patient’s teeth will gradually move into the correct alignment. The aligners are easy to take off throughout the treatment, allowing the patient to brush and clean their teeth and eat as per normal. Compared to traditional braces, there are no metal brackets and they’re almost invisible to the eye.
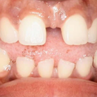
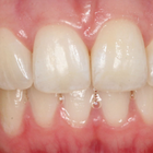
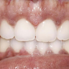
This process can help to correct Spacing, Crossbite, Open Bite, Crowding, Excessive Overjet, and Deep Bite.
The pricing for Invisalign within Guatemala hinges considerably on several aspects. These comprise the complexity of the patient's condition, the length of the treatment period, and the particular clinic offering the service. In general, the cumulative price remains in line with conventional brace treatment, thus positioning Invisalign as a financially feasible choice for many. Moreover, several dental insurance schemes offer coverage for Invisalign, mitigating the direct costs that the patient incurs.
Additionally, it should be noted that over time, Invisalign may prove to be a financially prudent choice. As it assists in rectifying improperly aligned teeth, it can deter future health complications associated with insufficient oral hygiene such as periodontal ailments or tooth decay, thereby saving you the expense of high-priced future dental treatments. Therefore, making an investment into Invisalign may play a part in promoting sustained dental wellness.
Since this is a non-invasive procedure, you may return to your holiday immediately after you have received your first set of clear aligners. However, strict compliance with your scheduled appointments with your orthodontist is essential. You will be required to see the dentist a few times during your stay so you should be aiming to stay in Guatemala for as long as possible, with 2 weeks being the absolute minimum. Subsequent appointments for check-ups and adjustments are typically scheduled every six weeks, but these are relatively quick visits.
One of the primary benefits of Invisalign compared to other orthodontic methods is the notably short healing time. Typically, patients go through minimal or no pain during the treatment period. There might be a slight discomfort or pressure sensation in the initial days following the introduction of a new aligner, which is an indication that the aligner is effectively shifting your teeth to their correct position. Such discomfort generally settles after a few days.
It's significant to note that maintaining excellent dental hygiene and following the instructions given by your medical professional can considerably influence the successful recuperation and ultimate outcome of your Invisalign. This might entail properly looking after your aligners and regular dental appointments to track your progress.
Your treatment time will also be based on how much your teeth need to be properly aligned. Typically, patients are required to use Invisalign from ten to twenty-four months.
You should avoid hot drinks while wearing the Invisalign since it is made from clear plastic, it can be deformed by hot liquids, any flavored drink, any drink that contains sugar and/or acidic can form cavities and/or stain the Invisalign.
It’s best that you remove your aligners each time you eat, plaque and food particles can get trapped in your aligners. This will lead to the formation of cavities and bad breath, so it is very important that you brush your teeth after every meal.
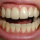
Globally, Invisalign demonstrates a substantial level of success, and similarly, in Guatemala. Research indicates a large number of individuals experiencing significant enhancements in not only their smile but also their complete dental wellbeing post undergoing Invisalign. This procedure is additionally seen to positively influence self-worth and living standards. Nonetheless, the triumph of Invisalign is majorly dependent on the patient's dedication to adhering to the advised daily 20-22 hours of aligner use and consistently keeping up with scheduled dental visits. Since Invisalign can be removed anytime, your treatment’s success will rely heavily on how frequently you will use clear aligners
Before your treatment, you will need to consult your orthodontist first. During your scheduled consultation, you will undergo a series of tests including x-rays, digital scans of your teeth or photographs to determine your diagnosis and plan your treatment procedure. The end-goal is for you to have a healthy bite, your top and bottom teeth must be proportioned properly.
Once all tests have been made, the specialized computer software will be used to design a plan on how your teeth will be moved from their current position to their best position possible. Invisalign is generated using a computer to make aligners especially designed for you and are clear colored. Your aligners will be changed every 2 to 3 weeks, which will allow your teeth to move into alignment. You will also be required to use it for twenty to twenty-two hours a day. Since Invisalign is non-surgical, anesthesia is not a requirement during the whole procedure.
While Invisalign is a great alternative to straighten your teeth and to have that perfect smile you are aiming for, some people may not be able to afford the treatment. The good news is that there is an alternative to clear aligners, such as Clear Correct - this also makes use of clear plastic aligners to straighten your teeth. The total cost for this type of aligner is usually cheaper than Invisalign. However, Invisalign uses top-notch planning software to determine your treatment plan, making it much easier to attain a successful result.
Although Invisalign is typically deemed safe, comparable with most medical procedures, it is not completely devoid of potential complications. Frequently reported challenges entail discomfort, pronounced when transitioning to fresh aligners, and it may transiently influence your verbal communication. Also, there is a susceptibility to dental caries and periodontal disease if appropriate oral care is neglected throughout the procedure. Although infrequent, the effectiveness of Invisalign might not match up to the conventional braces in extremely difficult cases.
Invisalign has become a very popular alternative to metal brackets. Unlike metal braces that stay cemented onto your teeth for a long period of time. Invisalign is a series of detachable clear plastic aligners that guide your teeth into its proper position and alignment. Other advantages of the use of Invisalign are:
One important thing to know is that, although Invisalign is one alternative option to traditional braces, it is not for everyone. A clear aligner is usually used on patients who have moderately crowded teeth or have minor spacing issues on their teeth. Furthermore, because it is custom-built to be a tight fit, it is best used for adults or teens. Patients who have more serious spacing problems and crowded teeth, including patients who have severe overbites, under-bites or cross-bites will require a more intricate treatment.
Invisalign v's Conventional Braces
Whilst the information presented here has been accurately sourced and verified by a medical professional for its accuracy, it is still advised to consult with your doctor before pursuing a medical treatment at one of the listed medical providers
Enquire Now
Guatemala is a country in Central America and its territory was once the core of the Maya Civilization. There are numerous historical sites to explore in this country, from Tikal National Park where visitors can learn more about the Maya to the colonial city of Antigua, which is one of the many footprints the Spanish left behind. However, there are other charms as well, such as the many amazing volcanoes, lakes, jungles, and inexpensive food markets. Besides its natural beauty and ancient ruins, Guatemala is also popular among international tourists for its medical tourism. Foreign patients who are looking for a more cost-effective solution for their medical requirements choose Guatemala because the country offers the finest quality healthcare at reasonable rates. On average, medical procedures in this country are 50 to 75% less expensive than in the US. Furthermore, the standard and quality of the hospitals and clinics in this country are on par with those in the USA.
The most popular city in Guatemala is Antigua, which was the capital of Guatemala. Located in the central highlands of the country, between three volcanoes, this city is mainly known for its preserved Spanish Baroque-influenced architecture. From its churches, houses, ruins, parks, to its cobbled streets, the city will never cease to captivate visitors. Visit the Plaza Mayor (central square) to admire its awesome palaces, cathedral, and gardens. While most travelers used to skip Guatemala City, the capital of the country, more and more travelers are coming to the city as it reinvents itself as a safe and interesting destination to visit. Another popular city is Panajachel, which is the gateway to the striking Lago de Atitlán.
The primary airport in Guatemala is La Aurora International Airport, which operates international flights to and from several cities in North and Central America, such as Los Angeles, New York, Mexico City, and San Salvador. Low-cost airlines, including JetBlue and Volaris, serve flights from this airport. The most common way to travel around the country is by pull man (first-class buses+, rental cars, and “chicken bus” (second-class buses). To travel inside cities and towns, taxis and three-wheeled Thai tuk-tuks are widely available.
Holders of passports of 86 countries, including all EU countries, the US, and the UK, are allowed to visit Guatemala for up to 90 days. Other nationals, including China and Nepal, need to apply for a visa to be able to visit the country.
Guatemala has two seasons. The rainy season stretches from May through October, with the majority of rain falling between September and October. The dry season extends from November to April, characterized by clear, blue skies. Note that coastal areas can be very humid.