

What procedures are available at Manhattan Periodontics & Implant Dentistry?
How many medical staff are there at Manhattan Periodontics & Implant Dentistry and what accreditations do they have?
At Medijump, we're making medical easy. You can search, compare, discuss, and book your medical all in one place. We open the door to the best medical providers worldwide, saving you time and energy along the way, and it's all for FREE, no hidden fees, and no price markups guaranteed. So what are you waiting for?
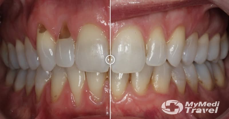
A root canal, also called endodontics, is a dental procedure to treat infection at the center of a tooth. It can repair or save a tooth that is infected or badly decayed instead of removing it. The term “root canal” comes from the act of cleaning the canal inside the tooth’s root.
Your tooth may feel sensitive for a few days after a root canal. Over-the-counter painkillers will help you with any discomfort. You can go back to work and return to your normal routine the next day or as soon as you arrive in your home country.
The root canal procedure is almost always successful, with over 95% success rate. Many teeth fixed with this procedure can last for 10 years to a lifetime. The side effect of a root canal is tooth sensitivity, but this will subside within a few days. The risks include the loss of the tooth or abscess development on the tooth, but this is very rare.
VIEW DETAILS
CONTACT SUCCESSFUL