With Medijump you can browse 4 facilities offering different types of Dentistry Packages procedures in Santo Domingo.
After weighing in all things that need to be considered and the different options available for dental tourism, and reading a lot of reviews, I decided to go to Santo Domingo, Dominican Republic, to see Dr. Juan Tomas Pena.The Dr. and his team at Denstetica were amazing, knowledgeable, attentive, very welcoming and friendly.The first phase of my treatment involved four implants and the extraction of a molar; after the implants have set, I will go back for phase two, which is to have my crowns done.Dr. Pena, was very thorough during his examination and throughout his work, making sure that I was comfortable and that everything was done to perfection; all in about 4 hours and I didn’t have any swelling!I surely recommend Dr. Pena and his fantastic group at Denstetica!
Highly competent dentists and specialists, efficient staff. Highly recommended.
Excellent clarified all my doubts and the very personalized treatment Thanks to Ms. Denisse.
Hispadent - Jose Alonso MD, located in Calle Guayubin Olivo, Santo Domingo, Dominican Republic offers patients Dentistry Package procedures among its total of 38 available procedures, across 2 different specialties. Currently, there's no pricing information for Dentistry Package procedures at Hispadent - Jose Alonso MD, as all prices are available on request only. There are many specialists available at the Dental, with 4 in total, and they have multiple recognized accreditations, including: AAAM - American Academy of Aesthetic MedicineAGD - Academy of General DentistryAACD - American Academy of Cosmetic DentistryAAID - American Academy of Implant DentistryAOD - Asociacion Odontologica Dominicana
At Medijump, we're making medical easy. You can search, compare, discuss, and book your medical all in one place. We open the door to the best medical providers worldwide, saving you time and energy along the way, and it's all for FREE, no hidden fees, and no price markups guaranteed. So what are you waiting for?
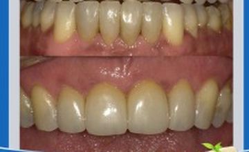
Dentistry packages include dental treatment and a hotel room in Santo Domingo. Numerous dental treatments are available for this package. Two of the most common are crowns and veneers.
You may need to stay for at least two to seven days in Santo Domingo to let your wounds heal and should any complications arise, you can immediately see your dentist.
Recovery depends on the type of dental treatment you underwent. In general, you may need to take it easy for a day or two before you are allowed to get back to your normal routine.
To maintain the results, always practice good oral hygiene and have a healthy lifestyle. You may also want to see your dentist regularly.
Success rates of most dental procedures we offer are high. Although complications are rare, you need to be aware that any procedure carries some types of risks. For example, you may experience prolonged soreness or infection.
If you want to book the accommodation yourself, you can choose our regular dental treatment options without accommodation included.
Whilst the information presented here has been accurately sourced and verified by a medical professional for its accuracy, it is still advised to consult with your doctor before pursuing a medical treatment at one of the listed medical providers
Enquire Now
Santo Domingo, the capital of the Dominican Republic and is the most modern and largest metropolis in the Caribbean. The city is the cultural, political, financial, industrial, and commercial center of the Dominican Republic. Founded by Bartholomew Columbus in 1496, Santo Domingo is the oldest styled European City in the Americas. The city has everything that will make any visit worthwhile, from large shopping malls, historical architecture, seaside resorts, to a vibrant nightlife.
Over the last several years, medical tourism in Santo Domingo has been growing steadily. The city contributed to the Dominican Republic’s medical tourism average income of US$265.0 million in 2018. The most popular procedures in Santo Domingo are cosmetic and plastic surgery, dental surgery, cardiology, and heart surgery. Santo Domingo has everything a medical tourist could ask for, including:
Located in the heart of the Caribbean, Santo Domingo has a rich historical and cultural heritage. The Colonial City, a UNESCO World Heritage Site, will amaze tourists with its beautiful architecture and rich history. The neighborhood consists of colonial buildings turned into shops, hotels, museums, and cafés. History fans can enjoy the oldest standing cathedral in the Western hemisphere: Catedral Primada de América.
Mercado Modelo is shopping heaven on Avenida Mella on the outskirts of Colonial City. Tourists will find an indoor maze of small shops offering local crafts, treats, and specialties.
Tourists who want to indulge in nature can go to Jardín Botánico Nacional de Santo Domingo as the gardens are filled with native plants and offer an excellent insight into the natural flora of Santo Domingo, the largest botanical gardens in the Caribbean. The botanical gardens are also home to hundreds of different kinds of orchids.
Santo Domingo has many wonderful beaches since the city’s waterside stretches along the Caribbean Sea. Tourists can go to Playa Najayo or Playa Juan Dolio for picturesque views or enjoy the sparkling blue water. The sunsets are particularly breathtaking.
The city enjoys a tropical climate that sees warm and humid weather all year long. The wet season (rainy season) starts from May to November, the average temperature on the wet season is around 22 - 31°C with the humidity slightly higher.
December to April is the best time to visit Santo Domingo since it is the dry season. The average temperature ranges between 19°C to 29°C. Showers may occur but they usually do not last long. Tourists should avoid traveling to Santo Domingo during Hurricane Season which runs from August to October.
There are two airports in Santo Domingo. The main airport is Las Américas International Airport (also known as Santo Domingo Airport), located Punta Caucedo and Boca Chica, 32km east of the city. This airport has international connections from North America, South America, and Central America to Europe. The airport serves many major airlines such as Delta, Emirates, and American Airlines. Las Américas International Airport also serves budget airlines such as JetBlue. La Isabela International Airport primarily serves domestic flights and some international flights to other Caribbean Islands. The airport is the major hub for Dominican airlines that operates small aircraft.
To get into the city from the airports, tourists can choose taxi, airport shuttle, public bus, shared van, or car rental. Traveling by taxi can get a bit more expensive although it is a good transportation option. The cost to Colonial City from Las Américas International Airport is around US$40. The cheaper option is to ride the public bus (Guagua), the buses depart to Parque Enriquillo in the city center and to Boca Chica.
Getting around in Santo Domingo is fairly easy. To get the most of Colonial City, walking is the best way since they offer plenty of pedestrian attractions, but walking along streets outside Colonial City can be quite challenging.
Taxis in Santo Domingo don’t use meters, tourists have to agree on the fare in advance. The standard fare is around RD$250. It is best not to take any unmarked taxi because it could be dangerous. Tourists usually need to call a dispatcher to have a taxi sent to their location, most businesses and hotels will gladly call a taxi for tourists and this is the safest option.
Tourists can take Públicos, minivans that follow a predetermined route but stops wherever someone flags them down. The fare usual fare is RD$25. Tourists can also take the Santo Domingo Metro, rides cost around RD$15, a contactless card can be purchased to use the metro.
Buses are also available from 6.30 am to 9.30 pm and cost around RD$25, the bus stops are marked with a sign and a word parade which means stop, the routes tend to follow major streets.
Dominic Republic exempts nationals from 107 countries including the US, Canada, most South American countries, the European Union, and several other countries from Asia and Africa from obtaining a tourist visa. A passport valid for at least six months is required to enter the country.
Visitors need to apply for a tourist card that can be obtained at the Dominican Consulates or directly upon arrival at the airports in the Dominican Republic. The tourist card costs US$10 and is valid for 30 days. Tourists who want to extend their visit will have to go to the offices of Direccion General de Migracion and pay for an extension.