With Medijump you can browse 175 facilities offering Braces procedures in United Kingdom. The cheapest price available is $637 in City of Edinburgh. And for the cheapest price globally, prices start from $1 in Vietnam.
Blur sky is so helpful and friendly and
Very professional and excellent service, Dr Daiva Pitkauskiene 100% recommend.Thank You so much
I love this clinic. The staff are fantastic, they know their stuff and are always helpful and deeply compassionate. The Dentists and hygienists are thorough, attentive, fast and highly skilled. By far the best I’ve seen in London.5/5 highly recommend.
Awesome service! Couldn’t be more happy. Paula did such a great job cleaning my teeth and was very friendly to talk to and address my concerns. Even with limitations of what can be done (Covid), result was excellent! Thank you 🤩
I’ve been a patient at SmilePod for around two years now. The receptionists are always lovely, especially Diana, she’s a darling. I’ve had multiple dentists look after me for various reasons and they’ve always been great. Most recently I’ve had fillings done by Dr Stephen Nkansah and I’m pleased with the results. Dr Stephen and his assistant are very friendly and know how to put a patient at ease. I’m experiencing anxiety at the doctors and they’ve been very gentle and considerate with me when I told them. The clinic is also very clean and has all the safety regulations in place during Covid19. If you’re looking after a reliable dentist, I can only recommend this SmilePod branch.
I’ve been a patient at SmilePod for around two years now. The receptionists are always lovely, especially Diana, she’s a darling. I’ve had multiple dentists look after me for various reasons and they’ve always been great. Most recently I’ve had fillings done by Dr Stephen Nkansah and I’m pleased with the results. Dr Stephen and his assistant are very friendly and know how to put a patient at ease. I’m experiencing anxiety at the doctors and they’ve been very gentle and considerate with me when I told them. The clinic is also very clean and has all the safety regulations in place during Covid19. If you’re looking after a reliable dentist, I can only recommend this SmilePod branch.
highly recommend. very nice, professional, accommodating and they know their stuff. plus my teeth have never felt or looked so clean. thanks ! I'll be back.
It’s a lovely Modern clinic in Kensington offering high quality services from a well trained practitioners. Thank you so much Dr Maryam Sabbaghi for taking good care of me. See you soon
What a fantastic hospital to attend for Surgery, just back from a Full Hip Operation, everything was so detailed, the Staff, Nurse's / Doctors / Catering Staff, were all so friendly, Thank you all so very much. I would highly recommend it for any procedures.
Shiremoor Dental Practice, can be found in Shiremoor, Tyne and Wear, United Kingdom and offers its patients Braces procedures as well as 39 other procedures, across 2 different procedure categories. The price of a Braces procedure starts from just £999, and the average price is around £1,808. Many medical professionals work at the Dental, with 4 in total, and Shiremoor Dental Practice has several accreditations, including: CQC - Care Quality CommissionGDC - General Dental CouncilRCSEng - Royal College of Surgeons of EnglandCQC - Care Quality CommissionMRCGP - Membership of the Royal College of General PractitionersMRCGP - Membership of the Royal College of General PractitionersRCSEng - Royal College of Surgeons of EnglandBDA - British Dental AssociationFGDP - Faculty of General Dental Practice MembershipGDC - General Dental CouncilBDHF - British Dental Health FoundationBSDHT - British Society of Dental Hygiene and TherapyBSRD - British Society for Restorative DentistryBADT - British Association of Dental TherapistsBSGDS - The British Society for General Dental SurgeryBSOI - British Society of Oral ImplantologyBDA - British Dental Association Practice Scheme Gold MemberBSOI - British Society of Oral ImplantologyBDA - British Dental AssociationBSRD - British Society for Restorative DentistryFGDP - Faculty of General Dental Practice MembershipBDHF - British Dental Health FoundationBSDHT - British Society of Dental Hygiene and Therapy
Barron Dental, can be found in Leith, City of Edinburgh, United Kingdom and offers its patients Braces procedures as well as 36 other procedures, across 2 different procedure categories. The price of a Braces procedure starts from just £500, and the average price is around £1,808. A small team of medical professionals undertake all procedures at the Dental, with 3 in total, and Barron Dental has several accreditations, including: GDC - General Dental CouncilBDA - British Dental AssociationGDC - General Dental CouncilBSDHT - British Society of Dental Hygiene and TherapyBADT - British Association of Dental TherapistsBDA - British Dental AssociationBSDHT - British Society of Dental Hygiene and Therapy
Hillbrook Dental Health Centre, can be found in Balsall Heath, West Midlands, United Kingdom and offers its patients Braces procedures as well as 36 other procedures, across 2 different procedure categories. The price of a Braces procedure starts from just £1,870, and the average price is around £1,808. A small team of medical professionals undertake all procedures at the Dental, with 3 in total, and Hillbrook Dental Health Centre has several accreditations, including: GDC - General Dental CouncilRCSEd - The Royal College of Surgeons of EdinburghMDU - Medical Defence UnionRCSEd - The Royal College of Surgeons of EdinburghBDA - British Dental AssociationGDC - General Dental CouncilMDU - Medical Defence UnionBDA - British Dental Association
Swedish Smile Clinic, can be found in Charing Cross, Greater London, United Kingdom and offers its patients Braces procedures as well as 37 other procedures, across 2 different procedure categories. The price of a Braces procedure starts from just €4,094, and the average price is around €2,114. A small team of medical professionals undertake all procedures at the Dental, with 3 in total, and Swedish Smile Clinic has several accreditations, including: IAAFA - International Academy of Advanced Facial AestheticsITI - International Team for ImplantologyEFP - European Federation of PeriodontologyRCSEng - Royal College of Surgeons of EnglandRCSEd - The Royal College of Surgeons of EdinburghRCSEng - Royal College of Surgeons of EnglandRCSEd - The Royal College of Surgeons of EdinburghADI - Association of Dental ImplantologyBSP - British Society of PeriodontologyADI - Association of Dental ImplantologyBSP - British Society of Periodontology
The Cherrytree Dental Clinic, can be found in Kingston Vale, Greater London, United Kingdom and offers its patients Braces procedures as well as 37 other procedures, across 3 different procedure categories. The price of a Braces procedure starts from just €877, and the average price is around €2,114. Many medical professionals work at the Dental, with 8 in total, and The Cherrytree Dental Clinic has several accreditations, including: SAAD - Society for the Advancement of Anaesthesia in DentistryCQC - Care Quality CommissionGDC - General Dental CouncilCQC - Care Quality CommissionRCSEd - The Royal College of Surgeons of EdinburghIHAS Register of Injectable Cosmetic ProvidersRCSEd - The Royal College of Surgeons of EdinburghSave FaceBDA - British Dental AssociationGDC - General Dental CouncilBDHF - British Dental Health FoundationBAAD - British Academy of Aesthetic DentistrySAAD - Society for the Advancement of Anaesthesia in DentistryDenplan Excel Accreditation ProgrammeBDA - British Dental AssociationDenplan Excel Accreditation ProgrammeBDHF - British Dental Health FoundationSAAD - Society for the Advancement of Anaesthesia in Dentistry
Mount Florida Dental, located in Mount Florida, City of Glasgow, United Kingdom offers patients Braces procedures among its total of 36 available procedures, across 2 different specialties. The cost of a Braces procedure starts from £1,500, whilst the national average price is approximately £1,808. There are many specialists available at the Dental, with 4 in total, and they are accredited by GDC - General Dental Council
Twenty One Dental, can be found in Hove, East Sussex, United Kingdom and offers its patients Braces procedures as well as 1 other procedures, across 1 different procedure categories. The price of a Braces procedure starts from just €2,047, and the average price is around €2,114. The lead specialist at the Dental will be carrying out all the treatments, and Twenty One Dental has several accreditations, including: ITI - International Team for ImplantologyCQC - Care Quality CommissionGDC - General Dental CouncilCQC - Care Quality CommissionBDA - British Dental AssociationGDC - General Dental CouncilBDHF - British Dental Health FoundationBDA - British Dental AssociationBDHF - British Dental Health Foundation
Angel Clinic, can be found in Furzedown, Greater London, United Kingdom and offers its patients Braces procedures as well as 57 other procedures, across 10 different procedure categories. The price of a Braces procedure varies from €702 to €1,170, and the average price is around €2,114. Many medical professionals work at the Clinic, with 13 in total, and Angel Clinic is accredited by just one known accreditations institute, CQC - Care Quality Commission
Harley Street in Morocco Ltd, can be found in Hoxton, Greater London, United Kingdom and offers its patients Braces procedures as well as 39 other procedures, across 4 different procedure categories. At present, there is no pricing information for Braces procedures at Harley Street in Morocco Ltd. The pricing information is quite specialised, so it's only available on request, and the average price is around €2,114. The lead specialist at the Hospital will be carrying out all the treatments, and Harley Street in Morocco Ltd is not accredited by any recognised accreditations institutions.
Woodbury Practice, can be found in South Woodford, Greater London, United Kingdom and offers its patients Braces procedures as well as 37 other procedures, across 2 different procedure categories. At present, there is no pricing information for Braces procedures at Woodbury Practice. The pricing information is quite specialised, so it's only available on request, and the average price is around €2,114. A small team of medical professionals undertake all procedures at the Hospital, with 3 in total, and Woodbury Practice is not accredited by any recognised accreditations institutions.
The Dentist, can be found in The Chuckery, West Midlands, United Kingdom and offers its patients Braces procedures as well as 38 other procedures, across 3 different procedure categories. At present, there is no pricing information for Braces procedures at The Dentist. The pricing information is quite specialised, so it's only available on request, and the average price is around $2,303. Currently, there's no information available about the doctors at the Dental, and The Dentist is not accredited by any recognised accreditations institutions.
At Medijump, we're making medical easy. You can search, compare, discuss, and book your medical all in one place. We open the door to the best medical providers worldwide, saving you time and energy along the way, and it's all for FREE, no hidden fees, and no price markups guaranteed. So what are you waiting for?

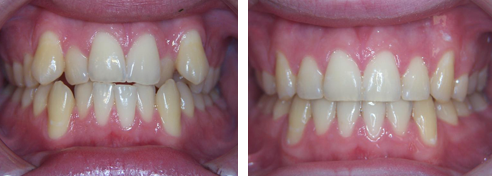
The Braces, commonly referred to as braces, is a mainstream dental technique designed to correct and align a person's dentition. Beneficial for both aesthetic and health reasons, the process involves repositioning misaligned teeth to improve your oral health and overall appearance. Aesthetic benefits aside, the Braces in United Kingdom also assists in enhancing oral hygiene, reducing discomfort when chewing, and even helping in speech correction in certain scenarios.
A thorough understanding of the Braces requires patient awareness regarding the longevity and complexity of the procedure. The dentist assesses the oral condition of an individual and plans a custom treatment accordingly. The treatment is usually achieved through subsequent periodic modifications that help guide teeth to their correct position over time. Your dentist unwaveringly monitors the Braces process, ensuring progress, and addressing any potential complications promptly.
There are several types of braces, including:
Braces are usually used during adolescence. However, more and more people are getting them later on in life.
The cost of Braces or braces in United Kingdom can vary based on a range of factors. These can include the specific type of braces chosen, the severity of the case, the expected duration of the treatment, and the dentist's experience and expertise. The costs can also be influenced by the geographical location. For example, the pricing for this dental intervention could be influenced by the local cost of living and local healthcare standards.
Apart from these specifics, your insurance coverage can also impact the final cost of the treatment. It's vital to verify with your insurance provider if orthodontic treatments like the Braces are covered in your plan and to what extent. Some plans cover only a portion of the treatment, while others may cover more. Speaking with your dentist about costs and payment plans is recommended for a smooth, transparent, and stress-free treatment experience
The Braces involves multiple stages which start with an initial consultation at an accredited clinic to assess the dental needs and the approaches applicable to the case. The first step typically involves a meticulous examination, including an X-ray of your dentition to gain a complete understanding of your oral structure.
Subsequent to the initial consultation, the dentist crafts a specialized plan that outlines the sequence for the Braces. Once the plan is finalized and consented by the patient, implementation begins. The chosen type of braces are put on, which is a process that can last for a few hours. Post-installation, periodic adjustments at regular intervals are crucial to guide the teeth to the desired position gradually.
As the Braces involves separate steps over an extended period, individual visits to your dentist or orthodontist are usually brief. Most patients can expect their initial fitting to take around one to two hours, with follow-up adjustment visits usually taking around 15 to 30 minutes.
While the procedure does not require any hospital stay and has minimal impact on your daily activities, it's crucial to note that a full Braces or braces treatment can often last between 18 to 24 months. Therefore, any decision to relocate during the treatment period should be carefully considered.
The concept of 'recovery time' for the Braces differs from other medical procedures. After your braces have been fitted or adjusted, you may experience general discomfort or difficulty in eating solid food. Usually, this discomfort subsides in about a week.
Contrarily, the overall process of correcting dental alignment using braces isn't quick. Depending on factors such as age, dental condition, and the extent of alignment required, the entire process may last anywhere from 1 to 3 years. As progress varies from case to case, it's best to discuss this with your healthcare provider to understand the timeline for your unique situation.
The Braces enjoys a remarkable success rate. With high patient satisfaction levels reported worldwide, the process has helped many to achieve a desirable and healthier smile. The success of a Braces differs from case to case and depends on the patient's dental condition, age, and the type of braces used.
Another crucial factor that significantly influences the success of the Braces is patient compliance. Adherence to the guidelines provided by the orthodontist, including diligent oral hygiene, attending follow-up appointments, and ensuring regular adjustments are a few ways to optimize treatment outcomes and experience long-term success.
Yes, there available alternatives to the Braces in United Kingdom. Invisalign, for instance, is a modern orthodontic treatment that, unlike traditional metal braces, uses clear, removable aligners custom-fitted to your teeth. This alternative has grown popular due to its near-invisible appearance, making the treatment less noticeable.
Another alternative is the lingual braces; these are essentially similar to traditional braces but are placed on the inward-facing side of your teeth, making them less visible when you speak or smile. Dental surgery is a more drastic option, usually considered only in extreme cases when orthodontic treatments alone may not be sufficient.
It's important to discuss these alternatives with your dentist and consider all aspects such as costs, duration, maintenance, and visual appearance before deciding on the most suitable option for you.
WebMD, could be a few years or indefinitely. Many patients have reported heightened self-confidence and improved oral health, making the Braces a worthy investment, which has made a mark in the field of Health and wellness.
While the Braces is generally safe, like any dental procedure, there can be potential complications such as discomfort after adjustment, difficulty in brushing, loss of calcium from the teeth (tooth decalcification), and shortening of tooth roots. Rarely, patients may also experience allergic reactions to some of the metals used in braces.
Difficulty brushing could potentially lead to an accumulation of plaque, leading to gum disease if not adequately managed. As such, engaging in regular oral hygiene practices is of utmost importance. If you notice any of these issues, it is crucial to raise them with your dentist as soon as possible
Aftercare plays a crucial role in the success and longevity of the results of the Braces. Once the braces are removed, you're generally required to wear a retainer, which your dentist will custom-fit for you. A retainer helps in maintaining and stabilizing your teeth in their new position. Neglecting to wear the retainer can lead to your teeth shifting back to their original position, reducing the efficiency of the treatment.
In addition to using a retainer, maintaining good oral hygiene throughout the course of wearing braces and even afterward is necessary. Oral care routines such as brushing your teeth twice a day, flossing regularly, and having routine dental checkups will help ensure the health of your teeth and gums long after the Braces.
A well-nourished diet that limits sugary and starchy foods is recommended to further protect your oral health.
When comparing adult and children's braces, the primary distinction is rooted in the biological differences between kids and adults. As children’s jaws are still growing, it may be easier to influence the position and alignment of teeth, making children more responsive to the Braces.
However, with adults, the Braces might take longer as their jaws are already fully developed, and shifting teeth can be more complex. So, while braces are effective at any age, the duration of treatment may differ between adults and children.
Even though the Braces will differ among age groups, the critical point remains that adults, just like children, can still benefit from braces in terms of improved oral health, better dental function and enhanced self confidence, as mentioned by Mayo Clinic.

There are several types of braces or Braces options available to cater to an array of needs and preferences. Traditional braces are the most popular, consisting of metal brackets that are glued to your teeth and linked with wires. They're now lighter and more flexible, reducing discomfort than previous versions.
Ceramic braces are similar to traditional ones, but they use tooth-colored or clear brackets to merge more naturally with your teeth. Lingual braces are metal braces placed on the inside of your teeth making them less noticeable. Lastly, Invisalign braces are clear, custom-fit removable aligners that are almost invisible, making them very popular among adults and teens who prioritize aesthetics.
It's important to remember that each type of Braces has its pros and cons: while some might be more aesthetically pleasing, others could be more efficient in treating complicated cases. Consulting with your dentist will allow you to make an informed decision based on your unique case.
Maintenance during the Braces involves maintaining a high level of oral hygiene. Because braces can lodge food particles, frequent and thorough brushing is necessary to prevent plaque build-up leading to tooth decay or gum disease. The use of special brushes and floss can help get to those hard-to-reach places around brackets and wires.
Additionally, periodic appointments with your orthodontist are obligatory to keep track of progression and make necessary adjustments. Furthermore, certain types of food are to be avoided as they can break wires or brackets. These typically include hard or sticky foods like candy, popcorn, and nuts. Your dentist will provide specific guidelines customized to your Braces.
Whilst the information presented here has been accurately sourced and verified by a medical professional for its accuracy, it is still advised to consult with your doctor before pursuing a medical treatment at one of the listed medical providers
Enquire Now
The United Kingdom is a constitutional monarchy comprising much of the British Isles. This Union is more than 300 years old and comprises four constituent countries: England, Scotland, Wales, and Northern Ireland. It occupies all of the island of Great Britain, the north-eastern portion of the island of Ireland, and most of the remaining British Isles. The UK is an island nation but shares an open land border with Ireland. The UK has a population of 65 million people, the capital and largest city is London.
The United Kingdom welcomes an ever-increasing number of medical tourists each year, many of which travel for Braces procedures. The government provides all British citizens free or low-cost care under the NHS, also known as the National Health System, leaving a small private sector for routine operations, which caters to people that do not want to wait in line for elective procedures or are not citizens or residents of the Islands.
Made up of Great Britain and Northern Ireland, the United Kingdom is filled with vibrant cities and tranquil countryside.
The United Kingdom enjoys a temperate climate and has plenty of rain all year round. Tourists can visit any time of year as it does not experience extreme weather. There is a great variety of changeable weather, but the overall weather and seasons are generally the same throughout this sovereign country.
There are plenty of airports in the United Kingdom, but the busiest and the largest airport is the London Heathrow Airport. It is the second busiest airport in the world after Dubai Airport. The airport has international connections with almost every country around the globe, including countries in the Middle East, Asia, Africa, and North America. It also serves domestic flights which provide an easy way to travel around the United Kingdom. There are budget airlines that offer a more affordable option for those who want to get around by plane.
The United Kingdom is very well connected by plane, train, and bus. The train is the most popular mode of transport and one of the most comfortable. Tickets can be booked online and it can be expensive, but most trains are equipped with air conditioning and sometimes Wi-Fi. There are two classes of train, the Standard Class and the First Class. Big cities and towns are usually connected by a regular bus service. The cost can be cheap, but the further you travel away from a city, the more expensive the cost. It is best to invest in an Oyster Card if you wish to travel by bus.
Taxis are available in most cities. There are two types of taxis; the metered taxis (painted in black) and private hire taxis (known as minicabs). The taxis should have a taxi-license displayed on the dashboard. The metered taxis can be hailed directly from the streets, while the minicabs have to be ordered via telephone. The minicabs are usually more affordable than the metered taxis because they operate on fixed prices and sometimes are even open to negotiation.
Citizens of the European Union can enter the United Kingdom without a visa. Additionally, British Nationals who are not European Union citizens and nationals of 56 countries can enter and stay for up to 180 days (90 days if they enter from the Republic of Ireland). Citizens of Kuwait, Oman, Qatar, and the UAE can obtain an online electronic visa waiver (EVW). Other nationals not listed in the visa-exempt for stays in the UK (including China and Russia) need to apply and obtain a visa before entering the country.