With Medijump you can browse 11 facilities offering Root Canal procedures in Greece. The cheapest price available is $272 in Athens. And for the cheapest price globally, prices start from $1 in Vietnam.
Smilesplace Dental Clinic, located in Pirgos Athinon, Athens, Greece offers patients Root Canal procedures among its total of 9 available procedures, across 1 different specialties. The cost of a Root Canal procedure ranges from €250 to €400, whilst the national average price is approximately €250. There are many specialists available at the Dental, with 6 in total, and they are not accredited by any recognized accreditations institutes
In the middle of my holiday my wisdom tooth became infected and my face blew up like a football. I am, I admit, a nervous dental patient and I was worried about seeing a dentist who was not my usual dental doctor. I researched online and Doctor Vardakis seemed to be recommended and could see me promptly. His office is modern, air conditioned, classic jazz playing. The doctor was excellent, tooth whipped out with no pain, everything explained clearly, aftercare explained carefully and the price very reasonable, about half UK prices. I was so impressed I booked another appointment to fit a new crown. I recommend Dr Vardakis without hesitation, very pleased indeed. It is extremely reassuring that such a competent, professional dentist handled my case. Thank you very much doctor!
I started the Invisalign method. The so-called invisible orthodontics. Incredible experience and knowledge. I was very happy to continue my treatment. Friendly, economical, inspires confidence and in the smile. I highly recommend it for any orthodontic reason. Thank you Alexander.
I've been meaning to write this review for quite a while. It's now been over a year since I first went to Dr. Papadiotis office. Since day one, I was impressed with the cheerful office where appointments were easy to get and there was never any wait. The office is clean and technologically advanced. Dr. Papadiotis and the staff is more than patient and helpful. Everything is explained thoroughly and well. Dental work is never pleasant, but I felt at ease during my entire experience. Great service…but the most important thing…the actual dental work…was amazing. Whole mouth reconstruction with no pain or discomfort, perfect bite, perfect overall result. Probably, the best dentist I’ve ever had (and my last dentist was a good friend). Highly recommended.Panagiotis K.
Wegen starker Zahnschmerzen während unseres Urlaubs habe ich in der Klinik angerufen und schon an nächsten Tag einen Termin bekommen. Der Zahnarzt hat sich Zeit für die Diagnose genommen und die Wurzelbehandlung anschließend sehr gewissenhaft durchgeführt. Ich kann die Klinik nur weiterempfehlen.
I have visited him several times, sometimes for simple tasks (eg sealing) and sometimes for more complex topics. He is an excellent dentist, he explained to me exactly what is going on and how to treat it and the result has always been excellent. He is a trained scientist with great experience. If need be, I will definitely prefer it again!
id Dental Clinic, located in Pirgos Athinon, Athens, Greece offers patients Root Canal procedures among its total of 35 available procedures, across 2 different specialties. Currently, there's no pricing information for Root Canal procedures at id Dental Clinic, as all prices are available on request only, whilst the national average price is approximately $272. All procedures and treatments are undertaken by the lead specialist at the Dental, and they are not accredited by any recognized accreditations institutes
Lyro Dental Clinic Single Member P.C., located in Kato Kalesia, Heraklion, Greece offers patients Root Canal procedures among its total of 55 available procedures, across 2 different specialties. Currently, there's no pricing information for Root Canal procedures at Lyro Dental Clinic Single Member P.C., as all prices are available on request only, whilst the national average price is approximately $272. There are many specialists available at the Dental, with 10 in total, and they are accredited by HDA - Hellenic Dental Association
Stoma, located in Pirgos Athinon, Athens, Greece offers patients Root Canal procedures among its total of 38 available procedures, across 4 different specialties. Currently, there's no pricing information for Root Canal procedures at Stoma, as all prices are available on request only, whilst the national average price is approximately $272. All procedures and treatments are undertaken by just a small team of specialists, with 2 in total at the Hospital, and they have multiple recognized accreditations, including: GDC - General Dental CouncilBACD - British Academy of Cosmetic DentistryGDC - General Dental CouncilBACD - British Academy of Cosmetic DentistryInvisalign Provider
Sofia S. Tzouma, located in Pirgos Athinon, Athens, Greece offers patients Root Canal procedures among its total of 36 available procedures, across 2 different specialties. Currently, there's no pricing information for Root Canal procedures at Sofia S. Tzouma, as all prices are available on request only, whilst the national average price is approximately $272. All procedures and treatments are undertaken by the lead specialist at the Hospital, and they are accredited by HDA - Hellenic Dental Association
Your Smile Dental Care, located in Pirgos Athinon, Athens, Greece offers patients Root Canal procedures among its total of 37 available procedures, across 2 different specialties. Currently, there's no pricing information for Root Canal procedures at Your Smile Dental Care, as all prices are available on request only, whilst the national average price is approximately $272. There are many specialists available at the Dental, with 5 in total, and they have multiple recognized accreditations, including: ISO Certification - International Organization for StandardizationDentsply Friadent Implant ProgrammeEAO - European Association for OsseointegrationEFP - European Federation of PeriodontologyHDA - Hellenic Dental Association
At Medijump, we're making medical easy. You can search, compare, discuss, and book your medical all in one place. We open the door to the best medical providers worldwide, saving you time and energy along the way, and it's all for FREE, no hidden fees, and no price markups guaranteed. So what are you waiting for?

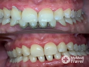
A root canal, also called endodontics, is a dental procedure to treat infection at the center of a tooth. It can repair or save a tooth that is infected or badly decayed instead of removing it. The term “root canal” comes from the act of cleaning the canal inside the tooth’s root.
With dental advances and the help of local anesthetics, a root canal is not painful. During the procedure, your dentist removes the pulp and the nerve, then the bacteria are removed and the inside of the tooth is cleaned. The final step is sealing the inside of the tooth with a filling or crown.
A root canal is usually performed as an outpatient procedure, meaning you can leave the medical facility straight after the procedure. However, you need to stay in Greece for around 2 to 7 days, especially if your tooth has several roots that require more than 1 appointment.
Your tooth may feel sensitive for a few days after a root canal. Over-the-counter painkillers will help you with any discomfort. You can go back to work and return to your normal routine the next day or as soon as you arrive in your home country.
After a root canal, you should avoid biting on hard foods for a few days. You also need to keep your teeth clean, limit sugary food, and give up smoking to avoid further root canal treatment.
The root canal procedure is almost always successful, with over 95% success rate. Many teeth fixed with this procedure can last for 10 years to a lifetime. The side effect of a root canal is tooth sensitivity, but this will subside within a few days. The risks include the loss of the tooth or abscess development on the tooth, but this is very rare.
If you are apprehensive about a root canal, your alternatives include tooth extraction and replacing it with a dental implant, bridge, or partial denture to restore your chewing function and prevent adjacent teeth from shifting.
An infected or a badly decayed tooth is painful, and they can interfere with your life. After a root canal procedure, you will no longer feel any pain and you can enjoy your life again.
Whilst the information presented here has been accurately sourced and verified by a medical professional for its accuracy, it is still advised to consult with your doctor before pursuing a medical treatment at one of the listed medical providers
Enquire Now
Located at the very bottom of the Balkan Peninsula, Greece is a mesmerizing blend of sun-drenched islands and historical marvels. Boasting approximately 2,000 islands, an impressive 170 among them are inhabited and teeming with life. Greece's geographical charm has been nowhere short of a magnet to travelling enthusiasts, pulling in a spectacular count of over 24 million wanderlust-struck visitors each passing year.
Greece turns out to be a preferred hotspot for a particular category of globe-trotters. Travelers come from the farthest stretches of the world seeking its array of top-tier beaches to soak up the sun, the warm ocean for an invigorating dip, the array of ancient relics for their history fix, and to immerse into an engaging culture. The universal allure of Greece, seemingly, never ceases to captivate the hearts of explorers worldwide.
The upward shift in Greece's status as a medical tourism hub has been quite noticeable in recent years. Medical tourists are being increasingly drawn to the country, a relative newcomer in the industry, due to a myriad of reasons. One of the core attractions is its health care system, which holds a high rank on the global scale. However, in spite of boasting of world-class standards, the medical services in Greece are pleasantly affordable. In fact, it flaunts some of the most pocket-friendly medical care prices across Europe and even globally.
The medical services that Greece provides run a comprehensive gamut. Cosmetic surgery and fertility treatments are particularly sought-after medical services, favoured by numerous medical tourists. Orthopedics also sees a consistent flow of patients, along with cardiac care procedures. The well-established oral and dental sector in Greece is another popular draw for people wanting to combine their medical treatments with a relaxing vacation. The availability of such diverse, high quality, yet affordable healthcare options certainly puts Greece on the map as a promising medical tourism destination.
The captivating city of Athens, the crown jewel of Greece, presents a dazzling blend of antiquated splendor, enchanting landscapes, and a vibrant modern core. The capital prides itself in harboring an unparalleled assortment of Greek ruins and antiques. Prime among them is the Acropolis, an iconic ancient citadel perched on a rocky outcrop. The Greek Agora, a central public space in ancient Greek city-states, adds an extra charm to Athens’ archaeological grandeur.
On the other hand, the striking island of Santorini stands as another touristic magnet in Greece. Admired far and wide, it carries the reputation of being the most breathtaking island in the country. The enormous allure of Santorini with its distinctive architecture, caldera views, and famous sunsets, keeps it perennially embedded in the bucket lists of travelers worldwide. From the captivating capital of Athens to the charming Santorini, Greece exhibits alluring facets that are truly hard to resist.
It is best known for its unique landscape and cliff-top towns. While Santorini is the most spectacular, Mykonos is the most glamorous. It is noted for its classy seafood restaurants and boutique hotels. Some of the most famous attractions in Mykonos, besides its beaches, are Paraportiani and Little Venice.
Set on the Mediterranean, Greece experiences a climate that is typically balmy and sun-soaked throughout the year with a cycle of four distinct seasons. Summers, spanning June to August, bring about warm and agreeable temperatures. This peak season draws in a large number of tourists, making it an ideal time to take a dive into the azure seas.
As September ushers in the fall season, the weather across Greece turns cooler but largely stays clear. On the flip side, winters starting from December to February reveal a different picture. Coastal cities remain warm but the country's northern regions experience significantly lower temperatures, occasionally even witnessing snowfall.
As March marks the arrival of spring, the weather begins to warm up again, though evenings can retain a cool nip in the air. Each season has its unique charm and adds to the overall allure of Greece.
Athens International Airport holds the distinction of being the largest and busiest hub for international air travel in Greece. This is typically the point of arrival and departure for a majority of international tourists exploring Greece. The extensive network of this airport caters to both domestic and international flights, connecting many global cities like Dubai, London, Moscow, and New York to the heart of Greece.
Among affordable means of transport, the ferry services stand out, particularly for travelling among the islands. They run on a frequent basis, with services especially ramped up during the sun-soaked summer months. For land travel, buses come across as largely comfortable and hassle-free, although the network is somewhat limited.
For intra-city travel within major Greek metropolises, the extensive network of buses and trolleybuses prove to be reliable options. Particularly in Athens, the capital city, the metro and tram systems offer additional efficient and cost-effective ways to explore the local attractions. Additionally, taxis, which are conveniently available quite everywhere, turn out to be extremely pocket-friendly. Whether hopping between islands or navigating city streets, Greece offers a range of transportation options to suit the needs and budgets of different travelers.
Greece is part of the Schengen Area, which means that citizens of most countries can travel to Greece without a visa for up to 90 days within a 180-day period.
Citizens of the following countries do not need a visa to visit Greece:
Citizens of all other countries need to obtain a visa to visit Greece.
You can apply for a Greek tourist visa at the Greek embassy or consulate in your home country. The visa application process can vary depending on the country where you are applying, but there are some general requirements that all applicants must meet, such as having a valid passport, proof of onward travel, and proof of financial means.